Jak bolí zánět dásní? Příčiny, síla bolesti a co s tím dělat

Zánět dásní: Test rizika a doporučení

Tento nástroj vám pomůže zjistit, zda máte pravděpodobně zánět dásní (gingivitidu) a zda je třeba navštívit zubního lékaře. Vypište své příznaky a rizikové faktory v níže uvedené formuláři. Po zkontrolování výsledků získáte konkrétní doporučení.

Zadejte vaše příznaky:

Zadejte rizikové faktory:

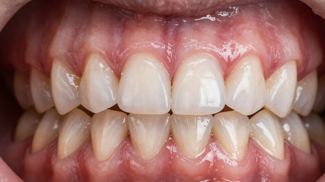
Zánět dásní není jen nepříjemný - může být i velmi bolestivý. Pokud cítíte, že vám bolí přední zuby, a zároveň dásně jsou červené, oteklé nebo krvácejí při čištění, pravděpodobně jde o gingivitidu - první fázi zánětu dásní. Ale nejde jen o „malý problém“. Když se zánět nezastaví, může se přeměnit v parodontitidu, která ničí kost kolem zubů a může vést k jejich ztrátě. A bolest? Ta se může projevovat jinak, než si většina lidí myslí.

Co přesně cítíte, když vám bolí zánět dásní?

Nejde vždy o ostrou, jasně lokalizovanou bolest, jako když máte děravý zub. Zánět dásní často působí jako tlak, pálení nebo trvající pulzující nepříjemnost. Můžete mít pocit, že vám „všechny přední zuby bolí najednou“ - to je běžné. Důvod je jednoduchý: zánět se šíří po dásních, které obklopují základ všech zubů. Když je jedna část dásně zanětlivá, celá oblast reaguje.

Bolest se často zhoršuje při jídle - zvláště když jíte tvrdé, teplé nebo kyselé potraviny. Někteří lidé říkají: „Cítím to jako kdyby mi zuby „plavaly“ v dásních.“ To není jen metafora. Zánět způsobuje uvolnění vazeb mezi dásní a zubem, což vytváří prostor pro bakterie a zvýšenou citlivost.

Proč přesně bolejí přední zuby?

Přední zuby jsou často první, které cítíte, když nastoupí zánět. Proč? Protože mají tenčí kost kolem kořene a méně dásňové tkáně na ochranu. Zároveň jsou vystaveny více slinám, které obsahují bakterie - a pokud se nečistí správně, tyto bakterie se hromadí přesně na hraně dásně, kde se nachází zub.

Navíc přední zuby často slouží jako „indikátor“ problémů s ústní hygienou. Když nečistíte zuby správně, nejprve se začnou hromadit zbytky jídla a plak na hraně dásně u těchto zubů - protože je člověk při čištění často „přeskočí“ nebo je čistí jen rychle. Výsledek? Dásně kolem předních zubů se zanětlí dřív než u zadních.

Co způsobuje zánět dásní?

Nejčastější příčina je plak - lepkavá vrstva bakterií, která se tvoří na zubech každý den. Když ho neodstraníte pravidelným čištěním, začne tvrdnout a přemění se v kámen. Ten už si neodstraníte běžným kartáčkem. Bakterie v něm produkují toxin, který dráždí dásně - a tak začne zánět.

Nejen hygiena hraje roli. Další faktory, které zhoršují zánět:

  • Tabák - snižuje přísun krve do dásní, což zpomaluje hojení a zvyšuje riziko infekce
  • Diabetes - lidé s vysokým cukrem mají častější a závažnější záněty dásní
  • Hormonální změny - těhotenství, menstruace nebo příjem antikoncepce mohou způsobit „těhotenskou gingivitidu“
  • Stres - oslabuje imunitní systém a dásně jsou méně odolné
  • Některé léky - například léky na krevní tlak nebo epilepsii mohou způsobit růst dásní a ztížit čištění

Nejde tedy jen o to, jestli čistíte zuby. Celkové zdraví těla se projevuje i v ústech.

Surreální vyobrazení infekce šířící se po dásních, zuby se zdají plavat v bakteriálním mlze.

Jak se zánět dásní liší od děravého zubu?

Velmi často lidé myslí, že když bolí zub, musí to být děravý zub. Ale to není pravda. Zánět dásní bolest není způsobený „děrou“ v zubu - je to vnitřní reakce těla na infekci v dásních.

Rozdíly:

Porovnání bolesti zánětu dásní a děravého zubu
Vlastnost Zánět dásní Děravý zub
Místo bolesti celá oblast dásní, často více zubů najednou jeden konkrétní zub, často přesně lokalizovaná
Charakter bolesti tlak, pulzace, pálení, citlivost na teplotu ostrá, ostrá bolest při jídle nebo nárazu
Časový průběh trvá dny nebo týdny, zhoršuje se pomalu může nastat náhle, často v noci
Společná příznaky červené, krvácející dásně, zápach z úst černá nebo hnědá skvrna na zubu, zápach z jednoho zubu

Pokud máte jen bolest, ale žádnou viditelnou díru, a zároveň krvácejí dásně - jde o zánět dásní. Nečekáte na to, až se to „přejde“. To se nezastaví samo.

Co můžete dělat doma?

Domácí opatření pomůžou, ale nevyléčí zánět. Jsou jen první krok.

  1. Čistěte zuby dvakrát denně - používejte měkký kartáček a techniku Bass: kartáček držte pod úhlem 45 stupňů k dásni a dělejte jemné kruhové pohyby. Nečistěte jako na štětec - potřebujete vymazat plak přesně na hraně dásně.
  2. Používejte zubní nit - kartáček nedosáhne mezi zuby. Nit je jediný způsob, jak odstranit plak z těchto míst. Čistěte alespoň jednou denně.
  3. Proplachujte ústa antiseptickým roztokem - například chlorhexidin (pouze krátkodobě, ne déle než 2 týdny) nebo roztok s mořskou solí (1 lžíce soli na sklenici teplé vody). To zmenší bakterie a uklidní dásně.
  4. Odstraňte kouření - pokud kouříte, zastavte to alespoň na několik týdnů. Zánět dásní se zlepší hned po prvním týdnu bez tabáku.
  5. Nejíte sladké a kyselé potraviny - cukr živí bakterie, kyselina dráždí dásně. Přestanete-li jíst čokoládu, limonády a ovocné šťávy, dásně se začnou hojit.

Neužívejte domácí „léky“ jako česnek, zázvor nebo olej - nemají vědecky ověřený účinek. Mohou dokonce poškodit dásně.

Ruce čistí zuby, zatímco uvnitř těla je vidět rozdíl mezi zdravými a zanětlivými dásněmi.

Když to nepomůže - co dál?

Když po týdnu domácí péče bolest není lepší, nebo když dásně krvácejí při každém čištění, potřebujete zubního lékaře. Nečekáte na to, až vám zub vypadne. Parodontitida je nevratná - když ztratíte kost kolem zubu, nevrátí se.

Zubní lékař provede:

  • Profesionální čištění - odstraní kámen, který si neodstraníte sami
  • Skalpelování dásní - pokud je zánět hluboký, očistí dásně pod povrchem
  • Podrobné vyšetření - změří hloubku mezery mezi zubem a dásní (tzv. zubní kapsa). Pokud je větší než 4 mm, je to znamení parodontitidy
  • Navrhne léčbu - od opakovaného čištění až po chirurgické zákroky, pokud je to nutné

Nebojte se jít. Nejde o to, že jste „nějaký špatný pacient“. Zánět dásní je běžný - 90 % dospělých ho někdy zažije. Důležité je, abyste ho neignorovali.

Co se stane, když to necháte?

Nejhorší scénář není jen ztráta zubu. Když zánět dásní přečnívá do parodontitidy, bakterie se dostávají do krevního oběhu. Výzkumy ukazují, že lidé s chronickým zánětem dásní mají větší riziko srdečních onemocnění, diabetu a dokonce mozgové mrtvice. Nejde jen o ústa - jde o celé tělo.

Když se zánět rozšíří, může se objevit:

  • zub se začne hýbat
  • mezi zuby se objeví mezery
  • zápach z úst se nezastaví ani po čištění
  • dásně se začnou stahovat - zuby vypadají „delší“
  • bolest se přemění v neustálou tlakovou bolest, která ruší spánek

Tyto příznaky nejsou „přírodní stárnutí“. Jsou příznaky nemoci, kterou lze zastavit - ale jen pokud se na ni podíváte včas.

Co můžete udělat, aby se to nevrátilo?

Po léčbě je důležité zabránit návratu. Zánět dásní se vrátí, pokud se nezmění vaše návyky.

  • Navštěvujte zubního lékaře každých 6 měsíců - i když nic nebojíte. Profesionální čištění je nejúčinnější prevence.
  • Používejte elektrický kartáček - studie ukazují, že elektrické kartáčky odstraňují o 21 % více plaku než ruční.
  • Přemýšlejte o stravě - více zeleniny, ořechů, čerstvého ovoce a vody. Méně cukru a zpracovaných potravin.
  • Udržujte si hladinu stresu pod kontrolou - meditace, procházky, spánek. Stres je tichý nepřítel dásní.

Zánět dásní není trest za špatnou hygienu - je to signál, že tělo potřebuje vaši pozornost. A když na něj odpovíte, zůstane vám zubů i na 80. roce věku - bez bolesti, bez zápachu, bez úzkosti.

Je zánět dásní nakažlivý?

Zánět dásní není nakažlivý jako chřipka, ale bakterie, které ho způsobují, se mohou přenášet. Pokud si vyměňujete lžíce, nápoje nebo políbíte někoho, kdo má silný zánět, můžete si přenést tyto bakterie. To neznamená, že budete mít zánět - ale zvyšuje to riziko, pokud máte špatnou ústní hygienu.

Může zánět dásní způsobit bolest hlavy?

Ano. Když je zánět silný a dlouhodobý, může způsobit napětí v čelisti a okolních svalích. To se projevuje jako bolest hlavy, často v oblasti čela nebo uší. Někteří lidé si myslí, že mají migrénu, ale příčinou je právě zánět dásní. Pokud bolest hlavy přetrvává a neodpovídá na léky na bolest hlavy, zkontrolujte ústa.

Může zánět dásní způsobit, že budu mít špatný dech?

Ano, a to velmi často. Bakterie v zánětlivých dásních produkují zápachové látky, které se dostávají do ústní dutiny. Zápach z dásní se liší od zápachu z děravého zubu - je „zkaženější“, „zelenavý“ a nezmizí ani po čištění zubů. To je jeden z nejčastějších příznaků, který lidé ignorují.

Je bezpečné čistit zuby, když dásně krvácejí?

Ano, je to i důležité. Když přestanete čistit, plak se hromadí ještě rychleji. Čistěte jemně, měkkým kartáčkem, a nepoužívejte silný tlak. Krvácení by mělo ustoupit během 1-2 týdnů pravidelného čištění. Pokud ne, je to signál, že potřebujete lékaře.

Může zánět dásní ovlivnit výsledek ortodontické léčby?

Ano, velmi. Pokud máte zánět dásní a nosíte rovnátka, plak se hromadí pod dráty a zvětšuje zánět. To může vést k poškození zubů, ztrátě kosti a dokonce k přerušení léčby. Ortodontista vám nezačne s rovnátkem, dokud nebudou dásně zdravé. Nejde jen o estetiku - jde o zdraví.