Author: Martin Černý

Zubní kámen u dětí: Proč nením chtít a jak mu předíst

Zjistěte, proč je zubní kámen u dětí nebezpečný, jak vzniká a jak ho efektivně odstranit a předcházet mu pomocí správné hygieny a profesionální péče.

Přečtěte si podrobnosti

Jak zastavit paradentozu? Účinné metody léčby a kyretáž zubů

Zjistěte, jak zastavit paradentozu a proč je kyretáž zubů klíčová pro záchranu vašich dásní a kostí. Praktické tipy pro domácí péči a profesionální léčbu.

Přečtěte si podrobnosti

Kompletní návod na péči o zuby po kyretáži a léčení parodontu

Podrobný průvodce péčí o zuby po kyretáži. Jak správně čistit ústa, co jíst a kdy se vyhýbat alkoholu. Zabráníte komplikacím a zajistíte trvale zdravé dásně.

Přečtěte si podrobnosti

Co dělat, když vám vypadla zubní korunka? Nejrychlejší průvodce pro řešení

Pokud vám spadla zubní korunka, nepanikařte. Tento článek vysvětluje, jak ji uložit, co nepoužívat jako lepidlo a proč navštívit zubaře co nejdříve, aby nedošlo k vážným poškozením.

Přečtěte si podrobnosti

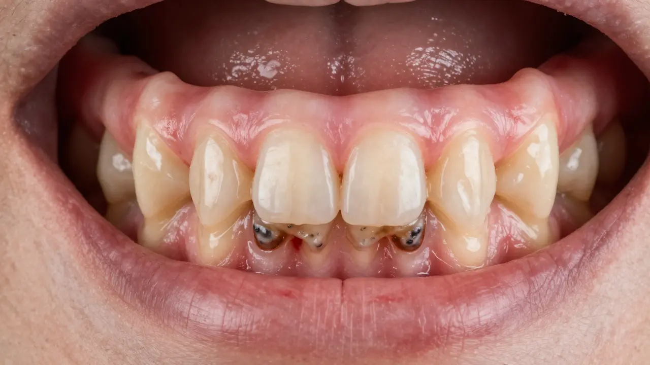
Počínající zubní kaz: Jak ho zvládnout bez stresu

Počínající zubní kaz není díra, ale začátek ztráty minerálů ve sklovince. Včasná prevence s fluoridem, správným čištěním a návštěvou zubního lékaře může zub zcela zotavit bez vrtání a bolesti.

Přečtěte si podrobnosti

Co se stane, když nezaplatíte poplatek v zubní pohotovosti?

Nezaplatíte poplatek v zubní pohotovosti? To neznamená, že problém zmizí. Získáte účet, který vás bude pronásledovat - až do soudního exekutora. Zjistěte, co se stane, když nezaplatíte, a jak to vyřešit bez zbytečných dluhů.

Přečtěte si podrobnosti

Jak rovnátka mohou ovlivnit vaše hobby

Rovnátka nezničí vaše hobby - mohou je zlepšit. Zjistěte, jak orthodontie ovlivňuje hraní na nástroje, sport, dýchání a sebevědomí. Více než 40 % dospělých v Česku nosí rovnátka a většina z nich říká, že to změnilo jejich život.

Přečtěte si podrobnosti

Jak dlouho vydrží veneers zuby? Všechno, co potřebujete vědět o trvanlivosti zubních veneers

Veneers zuby mohou trvat 15-20 let, ale jen při správné péči. Zjistěte, co ovlivňuje jejich trvanlivost, jak vybrat mezi keramickými a kompozitními a jak jim prodloužit životnost.

Přečtěte si podrobnosti

10 nejlepších tipů pro správné postavení zubů

Správné postavení zubů není jen o kráse. Špatné postavení může způsobit bolesti, ztrátu zubů a problémy s čelistí. Zjistěte, jak dosáhnout ideálního postavení bez rizik a s minimálními náklady.

Přečtěte si podrobnosti

Co způsobuje žluté zuby? Příčiny a co s tím dělat

Žluté zuby mohou být způsobeny plakem, potravinami, kouřením nebo stárnutím. Nauč se, co skutečně způsobuje zbarvení a jak efektivně způsobit jejich zjasnění bez poškození emailu.

Přečtěte si podrobnosti