Jak vypadá zdravý chrup? Praktický průvodce po perfektním zubním řádu

Test zdraví chrupu

Zdravý chrup - Test

Oceňte stav svého chrupu podle pěti klíčových znaků zdraví. Výsledek vám ukáže, zda je vše v pořádku nebo zda byste měli navštívit zubaře.

Poznámka: Zdravé zuby nejsou obvykle absolutně bílé. Bílá barva často znamená pouze čistotu, ne zdraví.

Poznámka: Malé mezery mezi řezáky jsou běžné a nejsou problém. Velké mezery nebo překrývání mohou způsobit problémy s čištěním.

Poznámka: Krvácení dásní je první příznak parodontitidy, která může vést ke ztrátě zubů.

Poznámka: Plak se mění v kámen, pokud ho neodstraníte. Ten si nemůžete odstranit doma.

Poznámka: Bolest při žvýkání nebo citlivost může být příznak špatného příštění, bruxismu nebo poškozeného zubu.

Výsledek

Zdravý chrup není jen o bílých zubech. Je to celkový systém - pevné, rovnoměrně uspořádané zuby, zdravé dásně, čistý dech a funkční čelist. Mnoho lidí si myslí, že když mají zuby bílé, jsou v pořádku. Ale to je jen povrch. Skutečně zdravý chrup se projevuje i tím, co nevidíte - bez krvácení dásní, bez bolesti při žvýkání, bez citlivosti na teplotu a bez nečistot mezi zuby.

Co tedy skutečně znamená zdravý chrup?

Zdravý chrup má pět základních znaků, které si můžete sami zkontrolovat. První je barva zubů. Nejde o absolutně bílou barvu - to je často výsledek bleachingu nebo fazet. Zdravé zuby jsou přirozeně světle šedobílé, s lehkým žlutým nebo krémovým odstínem, zvláště u starších lidí. Bílé zuby znamenají čistotu, ne nutně zdraví. Pokud máte zuby jako sníh, ale dásně krvácí, máte problém.

Druhý znak je poloha a uspořádání zubů. Zuby by měly být rovnoměrně rozložené, bez překrývání nebo velkých mezer. Malé mezery mezi řezáky jsou běžné a nejsou problém - ale pokud se zuby překrývají, zatlačují se na sousedy nebo se otáčejí, může to vést k obtížím s čištěním a rychlejšímu vzniku kávového plaku.

Třetí znak je stav dásní. Zdravé dásně jsou růžové, pevné a nekrvácí. Když si čistíte zuby nebo použijete nit, nesmíte cítit krvácení. Pokud dásně krvácí, jsou zánětlivé - to je první příznak parodontitidy. A to je nemoc, která může vést k ztrátě zubů, i když samotné zuby jsou zdravé.

Čtvrtý znak je čistota povrchu. Zdravý zub nemá žádné skvrny, žluté nebo hnědé plaky, a není na něm zřetelná vrstva nečistot. Když se dotknete jazykem, zub by měl být hladký. Pokud cítíte drsnost nebo „pásek“ na povrchu, je to plak - a ten se mění v kámen, pokud ho neodstraníte.

Pátý znak je funkce. Zdravý chrup funguje. Žvýkáte bez bolesti, nemáte citlivost na studené nebo horké jídlo, nečujete zvuky při žvýkání, a vaše čelist se pohybuje volně. Pokud se vám při žvýkání něco „kliká“ nebo bolestí, není to normální. To může být znamení špatného příštění, bruxismu nebo poškozeného zubu.

Co způsobuje poškození chrupu?

Největší nepřátelé zdravého chrupu nejsou sladkosti - alespoň ne přímo. Jsou to nepravidelná hygiena a neznalost. Mnoho lidí si myslí, že stačí čistit zuby dvakrát denně. Ale čištění bez nitě je jako mytí rukou jen dlaněmi - něco zůstane. Mezi zuby se hromadí plak, který se v 2-3 dnech změní v kámen. Ten už si nemůžete odstranit doma. Potřebujete k tomu zubaře.

Druhým problémem je potraviny a nápoje. Černý čaj, červené víno, káva a kyselé nápoje - ty nejen barví zuby, ale i poškozují sklo. Kyselina v limonádách a energetických nápojích může za rok ztenčit sklo o 0,1 mm. To je mnoho, když se to sčítá. Zuby se stanou citlivějšími a snadněji poškozují.

Třetí hrozba je bruxismus - škrábnutí nebo zatlačování zubů během spánku. Mnoho lidí o tom ani neví. Pokud se ráno budíte s bolestí čelisti, hlavou nebo citlivými zuby, může to být příznak. Bruxismus způsobuje opotřebení zubů, praskliny a dokonce zlomeniny. Některé osoby už v 30 letech mají zuby jako „přežvýkaný gumový kousek“.

A pak je tu zubní fazety. Mnoho lidí si je nechává dělat, aby měli „perfektní“ zuby. Ale fazety nejsou řešení pro zdravý chrup - jsou dekorativní pokrytka. Pokud máte zub s kávovým plakem, kmenem nebo křivostí a necháte si na něj dát fazetu, neřešíte problém - jen ho zakrýváte. A to může být nebezpečné. Fazety nezabrání kámen, nezastaví kávu a nezabrání zánětu dásní. Pokud neřešíte základní problém, fazeta může být jen dočasným řešením, které nakonec skončí většími náklady.

Co dělat, abyste měli zdravý chrup?

První krok je pravidelné čištění. Nejen dvakrát denně, ale správně. Používejte zubní kartáček s měkkými štětinami a fluoridovou pastou. Čistěte každý zub 2-3 minuty, ne jen „rychle“. Důležité je i čištění mezi zuby - každý večer použijte zubní nit nebo mezizubní kartáček. Většina lidí to nedělá - a to je příčina 80 % problémů s dásněmi.

Druhý krok je pravidelná kontrola. Nejdříve každých 6 měsíců. Zubař nejen prohlédne zuby - použije rentgen, aby viděl, co je pod dásněmi. Může zjistit kávu uvnitř zubu, kterou vy nevidíte, nebo začínající kámen, který ještě nebolí. Včasná detekce znamená menší léčbu, nižší náklady a zachování zubu.

Třetí krok je zdravá výživa. Jezte více zeleniny, ořechů, sýra a mléčných výrobků. Ty posilují sklo. Omezujte sladkosti, kyselé nápoje a sladké pečivo. Pokud piješ kávu nebo čaj, vypláchni si ústa vodou hned po vypití. Nečekáš, až se zuby „vyčistí“ samy.

Čtvrtý krok je ochrana během spánku. Pokud máš bruxismus, zubař ti může vyrobit ochrannou desku. Ta není krásná, ale zachrání tvoje zuby. A nezapomeň - pokud ti zuby bolejí po probuzení, neříkej si „to je normální“. Je to varování.

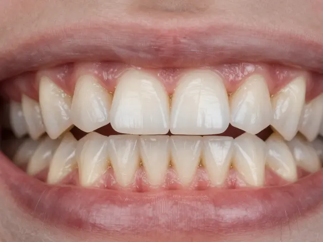
Anatomicky přesný pohled na zdravý chrup s rovnoměrně uspořádanými zuby a zdravými dásněmi.

Zubní fazety - opravdu potřebuji?

Zubní fazety jsou tenké keramické plátky, které se přilepují na přední zuby. Slouží k úpravě barvy, tvaru nebo uspořádání. Vypadají přirozeně, pokud je dělal zkušený zubař. Ale jsou trvalé. Aby se přilepily, musíš mít zub odbouraný - ztratíš část původního skla. To už se nevrátí.

Fazety nejsou pro každého. Jsou vhodné, pokud:

  • Máš zuby, které jsou poškozené, ale zdravé (např. po úrazu)
  • Máš výrazné barvení, které neodstraní bleaching
  • Máš malé mezery mezi řezáky, které nechceš opravovat ortodontií

Není vhodné, pokud:

  • Máš zánět dásní - nejdřív to musíš vyléčit
  • Máš kávu nebo ztracený zub - nejdřív to musíš napravit
  • Chceš jen „bílejší zuby“ - zkus nejdřív bleaching, který je levnější a nezničí zub

Fazety stojí 8 000-15 000 Kč za zub. A pokud se jedna z nich po 10 letech poškodí, musíš ji celou vyměnit. Nejde o opravu - jde o novou výrobu. To je dlouhodobý závazek.

Když máš pochybnosti - co dělat?

Nečekáš, až ti zub bolí. Nečekáš, až ti krvácí dásně. Nečekáš, až ti někdo řekne, že máš „špatné zuby“. Když máš pochybnosti, jdi na kontrolu. Zubař ti řekne:

  • Co je v pořádku
  • Co by mělo být zlepšeno
  • Co můžeš udělat doma
  • Co je nutné léčit

Nikdy nechávej zubaře, aby ti „něco udělal“ bez vysvětlení. Pokud ti řekne „musíme to udělat“, požádej ho o vysvětlení, proč a jak. Pokud ti neřekne, jak to bude vypadat po léčbě - nech si udělat druhou názor.

Ruce drží kartáček a nit, v zrcadle se odráží zdravý úsměv bez zubních fazet.

Co se stane, když zdravý chrup ignoruješ?

Ignorování zdraví chrupu nevede jen k ztrátě zubů. Vede k celkovému zhoršení zdraví. Kámen a zánět dásní jsou spojeny s rizikem srdečních onemocnění, cukrovky a dokonce demence. Bakterie z úst se dostávají do krve. A tělo na to reaguje - často bez příznaků, dokud není pozdě.

Ztráta zubů znamená problémy s žvýkáním, což vede k špatné stravě. To vede k nadváze, slabosti, problémům s trávením. A pak k úbytku kostí v čelisti - což způsobí změny obličeje. Tvář se může „sesednout“, vypadáš starší, než jsi.

Nejhorší je, že to všechno je zcela preventovatelné. Stačí pravidelné čištění, kontrola a zdravá výživa. Nejsou potřeba nákladné procedury. Jen vědomost a konzistence.

Závěr: Zdravý chrup je o zodpovědnosti, ne o kráse

Nejkrásnější zuby na světě nejsou ty, které mají fazety. Jsou to ty, které jsou čisté, pevné, bez bolesti a fungují. Když se na ně díváš, nevidíš jen bílou barvu - vidíš zdraví. A to je to, co skutečně zůstane s tebou po celý život.

Nech si zuby zkontrolovat. Nech si vysvětlit, co je v pořádku a co ne. A pak se rozhodni - ne podle reklamy, ale podle svého zdraví.

Jak poznám, že mám zdravé zuby?

Zdravé zuby nekrvácí při čištění, nebolí při žvýkání nebo při teplotách, nejsou citlivé, nemají viditelné skvrny nebo plak a jsou rovnoměrně uspořádané. Dásně jsou růžové a pevné. Pokud nečíšeš zuby, ale nebolí tě, znamená to jen, že problém je ještě v počáteční fázi - ne že je všechno v pořádku.

Můžou fazety nahradit zubní hygienu?

Ne. Fazety jsou jen povrchová úprava. Pokud pod nimi zůstane plak nebo kámen, zánět dásní se bude rozvíjet. Fazety nezabraňují kávě, nezastavují zánět a nezabraňují ztrátě kosti. Hygiena je základ - bez ní jsou fazety jen dočasným řešením, které může skončit drahým zákrokem.

Je bílé zuby vždy znamením zdraví?

Ne. Bílé zuby mohou být výsledkem bleachingu, fazet nebo i chemického poškození. Zdraví se měří stavem dásní, pevností skla a funkcí chrupu. Zuby mohou být přirozeně světle žluté a stále být zdravé. Barva není ukazatel zdraví - funkce ano.

Kdy je vhodné začít s fazetami?

Fazety jsou vhodné, pokud máš zuby s trvalým poškozením, které nelze opravit jinak - například po úrazu, po výrazném barvení, které neodstraní bleaching, nebo malé mezery mezi řezáky. Ale jen tehdy, když je celý chrup zdravý - bez kávového plaku, bez zánětu dásní a bez bruxismu. Pokud máš problémy, nejdřív je vyřeš.

Co se stane, když nebudu chodit na kontrolu k zubaři?

Kámen se bude hromadit, dásně budou krvácet a zánět se bude rozšiřovat. V průběhu 3-5 let může dojít ke ztrátě kosti v čelisti, což způsobí uvolnění zubů. V některých případech se zubní kámen přemění na infekci, která se rozšíří do krve a ovlivní celé tělo. Ztráta zubů je nejviditelnější důsledek - ale ne nejzávažnější.