Typy zubů a jejich klíčová role v našem zdraví

Funkční kalkulátor zubů

Tento nástroj vám ukáže, které typy zubů jsou nezbytné pro žvýkání určité potraviny a jaké následky má chybějící zub na celý ústní systém.

Funkce zubů pro vaši potravu

Každý den mluvíme, žvýkáme, škrábeme a smějeme se - a většinou ani nevíme, jakým způsobem naše zuby fungují. Nejsou jenom bílé kousky v ústech. Každý typ zubu má svou konkrétní úlohu, a když některý selže, celý systém začne klapat. Víte, proč máte čtyři řezáky a jen dva kličky? A proč je důležité, aby stoličky měly plochý vrchol? To všechno není náhoda. Je to výsledek tisíciletého vývoje lidského těla.

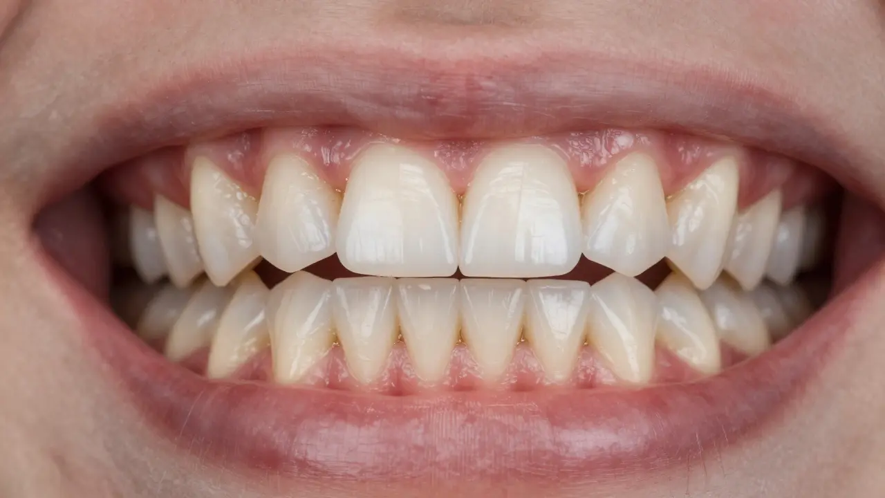
Čtyři typy zubů - každý jiný, každý nutný

V lidské ústní dutině se nachází čtyři základní typy zubů: řezáky, kličky, stoličky a třetí stoličky. Každý z nich má jiný tvar, jinou funkci a jinou polohu v ústech. Společně tvoří dokonalý systém, který vám umožňuje jíst, mluvit a dokonce i vyjadřovat emoce.

Řezáky jsou ty nejviditelnější. Jsou to ty osm zubů na přední části čelisti - čtyři nahoře, čtyři dole. Mají ostrý, plochý okraj, který dokáže jednoduše odříznout potravu. Když jíte jablko, řezáky ho přesně rozdělí na kousky. Bez nich byste museli potravu rozdrcit jazykem nebo ji rozdělovat prsty. To by nebylo jen nepraktické, ale i nehygienické.

Kličky jsou za řezáky. Mají ostrý, špičatý tvar, který je ideální pro držení a trhání potravy. Jsou to vaše přirozené nástroje na roztrhání masa, chleba nebo ořechů. Když jíte svačinu s klobásou, kličky ji drží a zároveň ji roztrhají na menší kousky, které pak můžete předat stoličkám. Mají jednu nebo dvě kořenové větve, což je důvod, proč jsou tak pevně zakořeněné.

Stoličky jsou ty největší zuby v ústech. Je jich celkem osm - čtyři nahoře a čtyři dole. Mají plochý, hrbolatý vrchol, který je navržený pro mletí a drtění potravy. Když jíte rýži, zeleninu nebo pečené maso, právě stoličky je přeměňují na hmotu, kterou je možné snadno polykat. Pokud byste měli jen řezáky a kličky, vaše strava by byla omezená na měkké potraviny. Stoličky vám umožňují jíst všechno - od šalátu po pečené vepřové.

Třetí stoličky, známé také jako „zuby moudrosti“, jsou poslední v řadě. Obvykle se objevují mezi 17. a 25. rokem života. Některým lidem rostou bez problémů, jiným způsobují bolest, oteklé dásně a dokonce posunutí ostatních zubů. Dnes už nejsou nezbytné - naše strava se změnila, a s ní i potřeba těchto zubů. V mnoha případech je lékař odstraňuje, protože prostor v čelisti nestačí.

Proč je důležité, aby všechny typy zubů fungovaly správně?

Nejde jen o to, že byste nebyli schopni jíst steak. Když některý typ zubů chybí nebo je poškozený, celý ústní systém se přizpůsobuje - a to ne vždy dobře.

Když ztratíte stoličku, ostatní zuby začnou přetěžovat. Zuby naproti se začnou vysouvat do prázdného prostoru. Zuby vedle se nakloní. To způsobí nerovnosti, které ztěžují čištění a zvyšují riziko kazu. Když pak ztratíte i kličku, začnou se měnit i čelistní svaly. Mluvíte jinak, žvýkáte jinak, dokonce i tvář se může změnit - protože svaly, které dříve pracovaly s těmito zuby, se ztrácejí.

Studie z Ústředního zubního ústavu v Praze ukazují, že lidé bez alespoň dvou stoliček mají o 40 % vyšší riziko vývoje zubního kazu na sousedních zubech. Proč? Protože se potrava zadržuje v ústech déle - a bakterie mají více času na výrobu kyseliny, která ničí zubní sklovinu.

Když chybí řezáky, lidé často začínají jíst způsobem, který zatěžuje čelist. Místo toho, aby odřízli potravu, ji tlačí jazykem nebo ji přetahují rty. To může vést k bolestem čelisti, hlavě a dokonce k poruchám spánku - protože čelistní svaly jsou přetížené celou noc.

Ilustrace úst jako kuchyně: řezáky jako nože, kličky jako kleště a stoličky jako mlýnky při zpracování potravy.

Zuby a celkové zdraví - neviditelný vztah

Je to překvapení, ale zuby nejsou jen o tom, jak se vám pohodlně žvýká. Jsou propojené s celým tělem. Když máte zánět dásní způsobený nečistými zuby, bakterie se dostávají do krevního oběhu. To může přispívat k zánětům srdce, zhoršování cukrovky nebo dokonce k předčasnému porodu u těhotných žen.

Studie z roku 2023 publikovaná v časopise Journal of Clinical Periodontology ukázala, že lidé s chronickým zánětem dásní mají 2,5krát vyšší riziko srdečního infarktu. Proč? Protože bakterie z ústní dutiny se mohou usazovat na stěnách cév a způsobovat jejich ztuhnutí.

Naopak, když máte zdravé zuby a správně fungující typy zubů, vaše tělo lépe absorbuje živiny. Když jíte potravu dobře zmelčenou, trávicí systém ji zpracovává efektivněji. To znamená, že získáváte více železa, vápníku, vitamínu B12 - všech těch látek, které potřebujete k energii, zdravým kostem a fungujícímu mozku.

Co dělat, když některý typ zubů chybí?

Ne každý má štěstí a všechny zuby. Někdo je ztratil kvůli úrazu, někdo kvůli zanedbání, někdo kvůli genetice. Ale neznamená to, že jste na konci.

Moderní zubní lékařství nabízí řešení, která obnoví funkci i vzhled. Zubní náhrady - mosty, implantáty nebo částečné protézy - nejsou jen o estetice. Jsou o tom, aby vaše čelist zůstala stabilní, aby jste mohli žvýkat, mluvit a neztratit svaly v obličeji.

Implantát je nejblíže přirozenému zubu. Je to kovový šroub, který se zasune do čelisti a slouží jako kořen. Na něj se pak připevní korunka, která vypadá a funguje jako původní zub. Je to trvalé řešení, které trvá desítky let, pokud se o něj dobře pečuje.

Mosty jsou vhodné, když máte ztracené zuby vedle sebe. Zahrnují korunky na sousedních zubech, které drží „most“ mezi nimi. Ale mají jednu nevýhodu - sousední zuby je třeba ořezat, aby se do nich most „připevnil“.

Částečné protézy jsou levnější, ale méně stabilní. Musíte je vyjímat, čistit a každý den je znovu vkládat. Ale pro některé lidi jsou jedinou možností, zejména pokud mají několik ztracených zubů v různých částech úst.

Chybějící stoličky způsobují posunutí zubů, zatímco implantát je vkládán do čelisti pod světlem operační lampy.

Jak udržet všechny typy zubů zdravé?

Nejde jen o čištění. Jde o to, jak čistíte, jak často a co jíte.

  • Čistěte zuby dvakrát denně - ráno a večer. Používejte zubní kartáček s měkkými štětinami a fluoridovou pastou. Nezapomeňte na mezizubní prostory - používejte zubní nit nebo mezizubní kartáček.
  • Nečistěte hned po jídle, pokud jste jeli kyselé potraviny (citrusy, káva, ovoce). Kyselina způsobí, že sklovinu zubu zjemní. Čištění hned poté ji ještě více poškodí. Počkejte 30 minut.
  • Omezte cukr. Bakterie, které způsobují kazy, živí se cukrem. Každý sladký nápoj nebo bonbón je jako signál pro ně, aby se rozmnožovaly.
  • Navštěvujte zubaře každých šest měsíců. Nečekáte na bolest. Kontrola je levnější než léčba.
  • Používejte ústní vodu s fluoridem. Pomáhá obnovovat sklovinu, kterou kyselina poškodila.

A nezapomeňte: vaše děti potřebují stejnou péči. První mléčné zuby jsou důležité. Slouží jako místo pro trvalé zuby, které za nimi přijdou. Když se mléčný zub rozpadne dříve, ostatní zuby se mohou posunout a způsobit špatné zarovnání.

Co se stane, když zanedbáte své zuby?

Zanedbání nevede jen k bolesti. Vede k ztrátě zubů - a pak k ztrátě kvality života.

Lidé bez zubů často přestanou jíst tužší potraviny. Zeleninu, ořechy, maso - všechno to se vyhýbají. To znamená, že nemají dostatek bílkovin, vlákniny, vitamínů. Může to vést k oslabení imunity, ztrátě svalové hmoty, problémům s pamětí a dokonce k depresi.

Podle dat České zubní asociace má více než 30 % lidí ve věku nad 65 let méně než 10 zubů. A z nich 60 % má potíže s jídlem. To není jen o starosti - je to o zdraví.

Zuby nejsou jen o tom, jak vypadáte. Jsou o tom, jak se cítíte. Jak jíte. Jak mluvíte. Jak žijete.

Proč máme různé typy zubů a ne jen jedny stejné?

Různé typy zubů nám umožňují efektivně zpracovávat různé druhy potravy. Řezáky odřezávají, kličky trhají, stoličky mlejí. Kdybychom měli jen jeden typ, nemohli bychom jíst širokou škálu potravin - a naše tělo by nezískávalo všechny živiny, které potřebuje.

Může se zubní typ změnit během života?

Ne, tvar zubu se nemění. Ale jeho funkce ano. Pokud ztratíte stoličku, sousední zuby se mohou přesunout a začít fungovat jako stoličky - ale nebudou to dělat dobře. To vede k přetížení a poškození.

Je pravda, že třetí stoličky už nejsou potřeba?

Ano. U našich předků byly třetí stoličky užitečné, protože jeli hrubší potravu a ztráceli zuby dříve. Dnes máme jemnější stravu a lepší péči o zuby. Čelist je menší, a proto třetí stoličky často nemají místo. V mnoha případech je lépe odstranit, než čekat na problémy.

Jak poznám, že mám problém s některým typem zubu?

Pokud při žvýkání cítíte bolest, pokud se vám potrava zadržuje v určité části úst, nebo pokud se vám zuby posunuly nebo oteklé dásně - je to varovný signál. Nečekáte na bolest. Jděte k zubaři, když něco cítíte jinak.

Může ztráta zubu ovlivnit tvář?

Ano. Když ztratíte zuby, kost v čelisti se začne rozpadat. Svaly obličeje ztrácejí podporu. To může vést k propadnutí tváře, hlubokým vráskám kolem úst a vypadání brady. To se dá zpětně opravit - ale jen s implantáty nebo protézami.